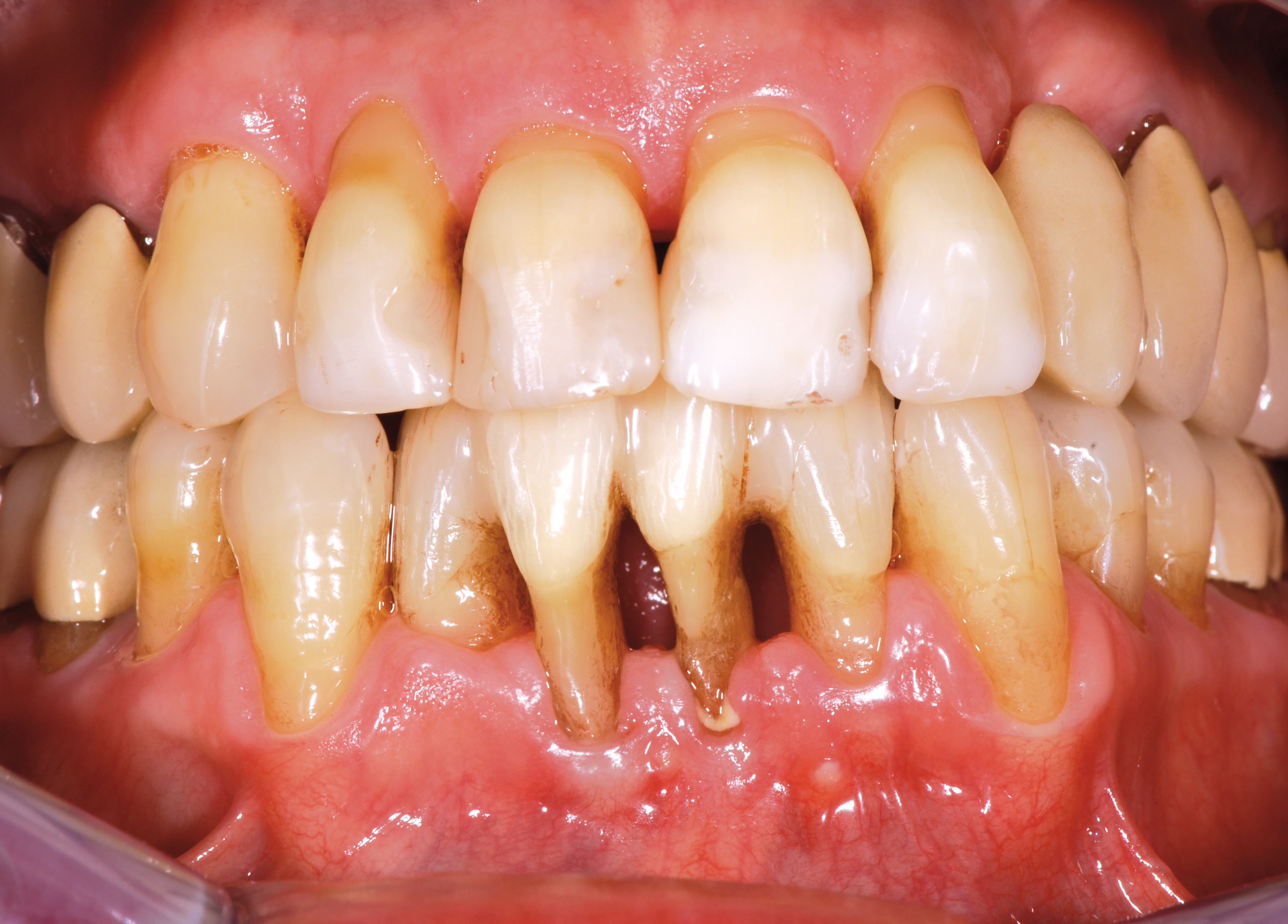
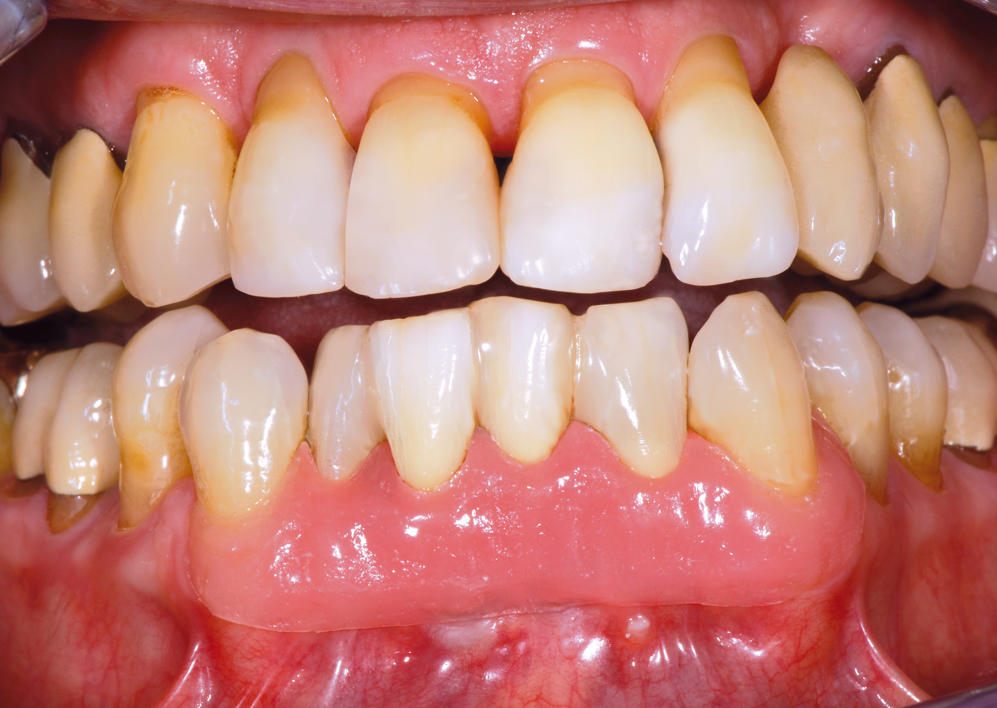
BEFORE AFTER
Soft tissue recession due to illness or aging. The solution and results using a gingival mask after prophylaxis and restorative therapy.