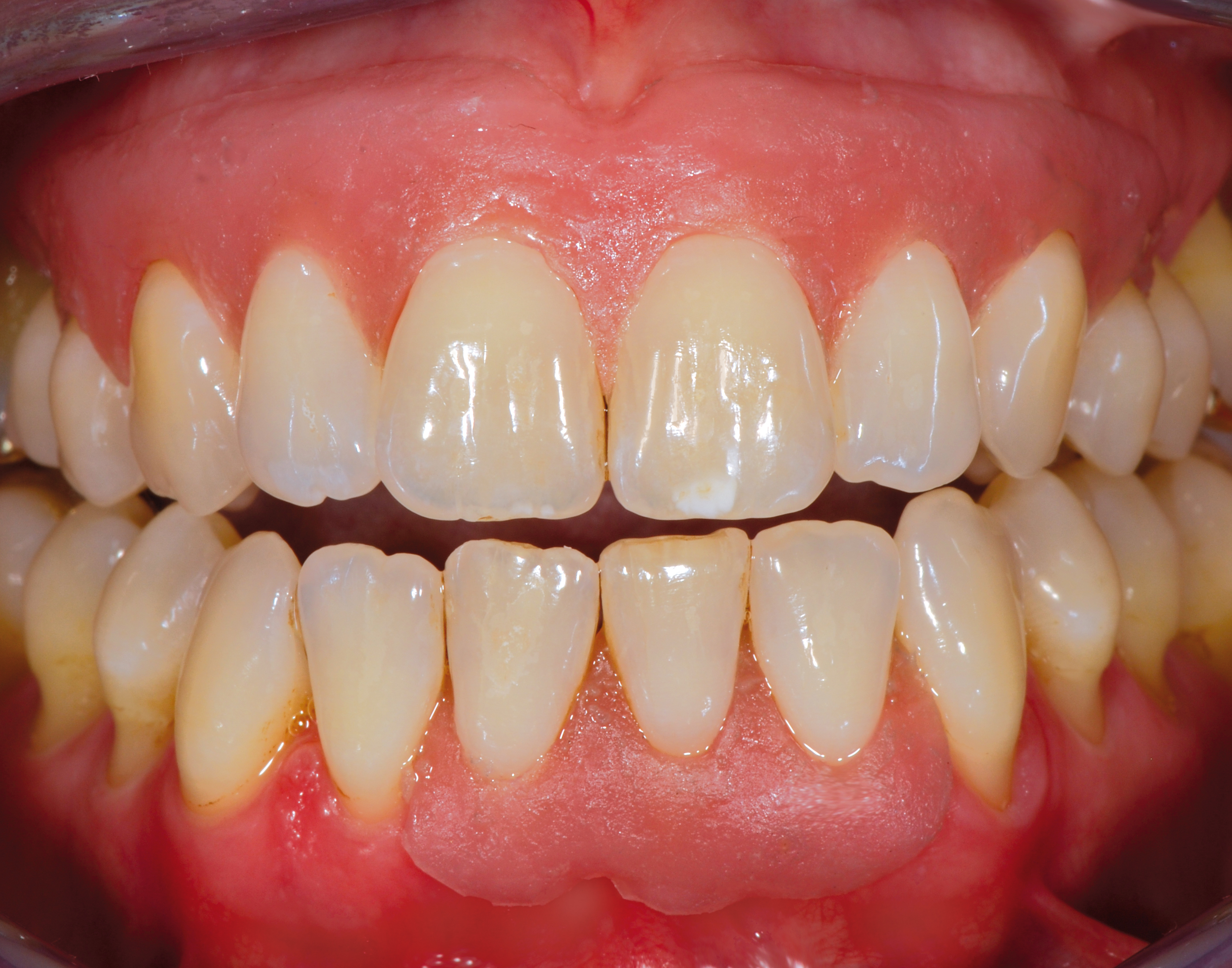
BEFORE AFTER
exposed cervicals. The solution and results using a gingival mask after prophylaxis.