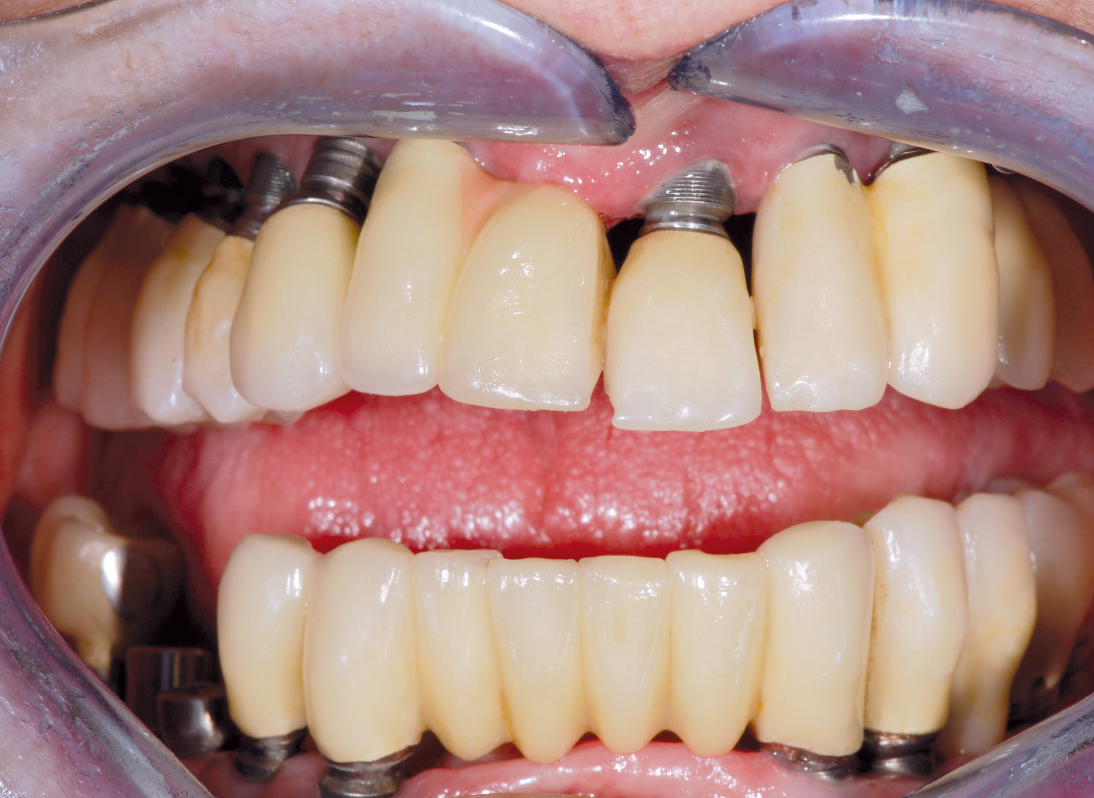
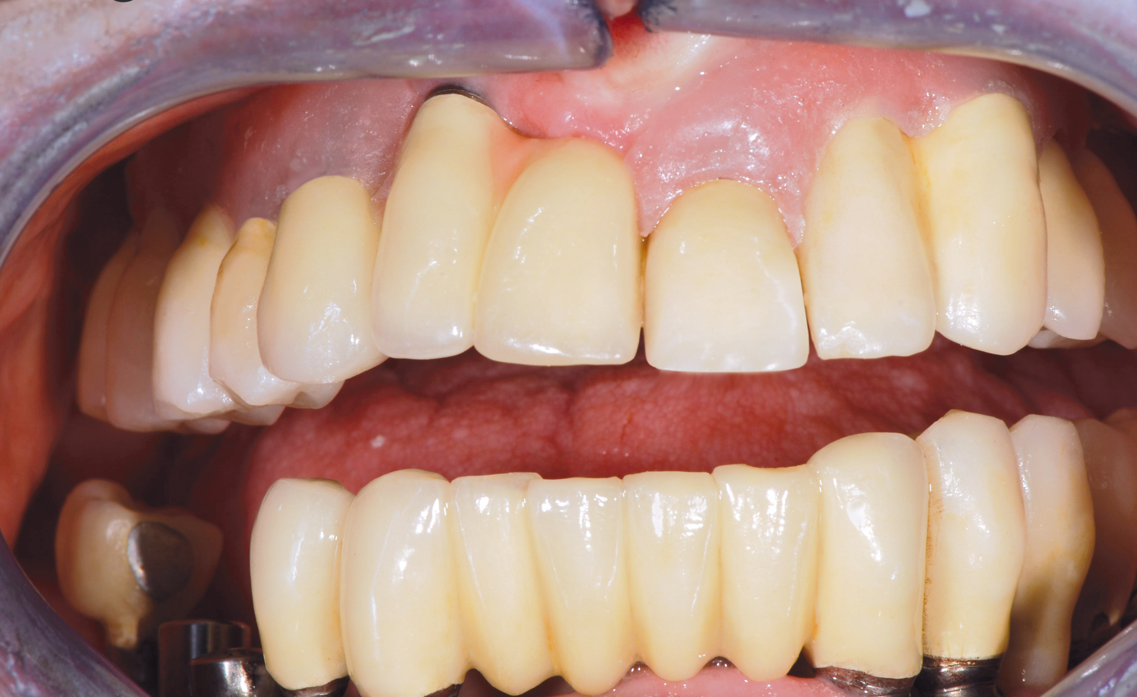
BEFORE AFTER
Bone and gum deterioration after cancer treatment. Gingival mask as soft tissue replacement.