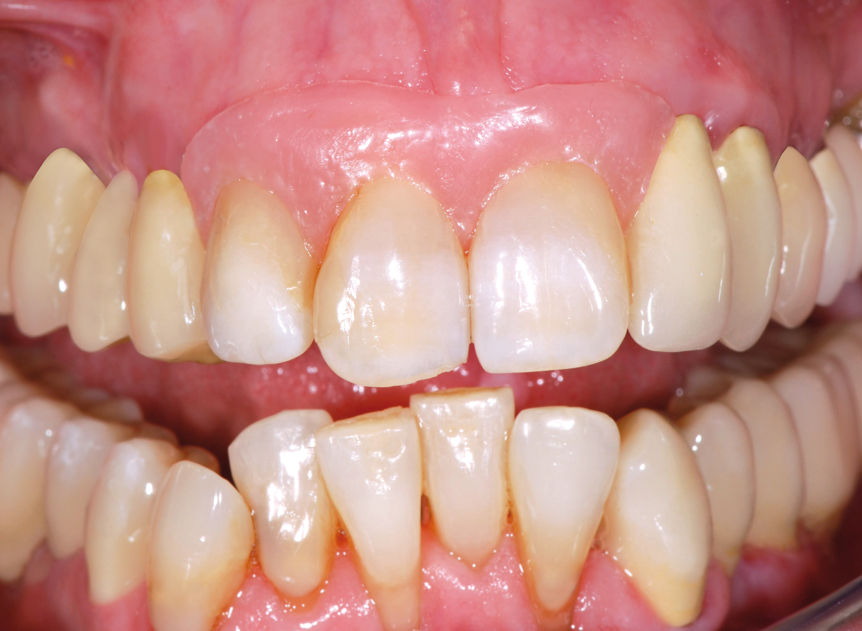
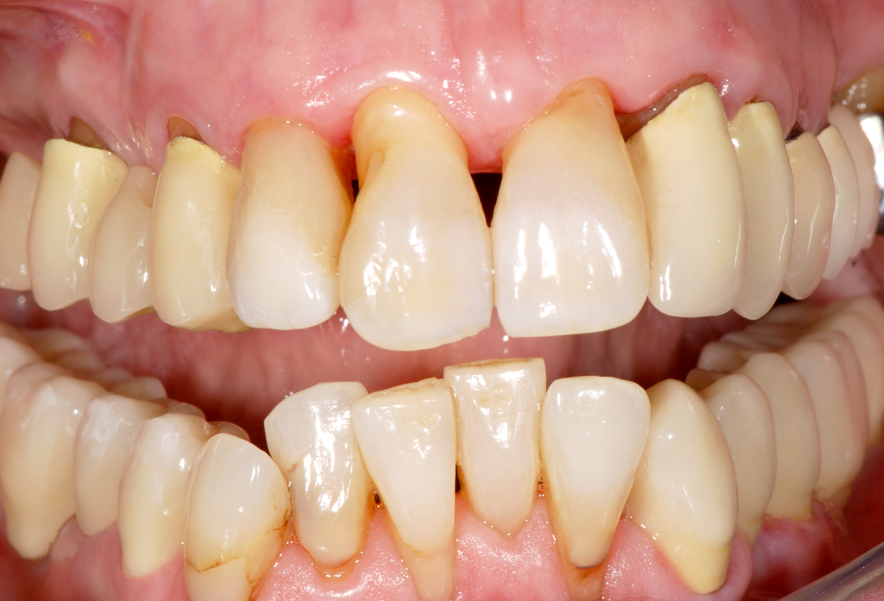
BEFORE AFTER
Receding gums due to illness or old age. The solution and results using a gingival mask after prophylaxis and restorative therapy.